Quiénes Somos
Casos clínicos
Patologías que atendemos
Gastroenterología
Nefrología / Urología
Ginecología
Vascular
Neurointervencionismo
Oncología
Dónde nos encontramos
Blog
Contacto
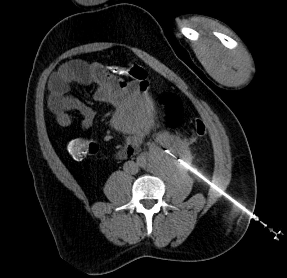
Biopsia guiada por pet-ct
Copyright ©2020 RADIN Centro Integral de Radiología Intervencionista