Quiénes Somos
Casos clínicos
Patologías que atendemos
Gastroenterología
Nefrología / Urología
Ginecología
Vascular
Neurointervencionismo
Oncología
Dónde nos encontramos
Blog
Contacto
CASOS CLÍNICOS
Biopsia de cresta iliaca derecha
Ver más
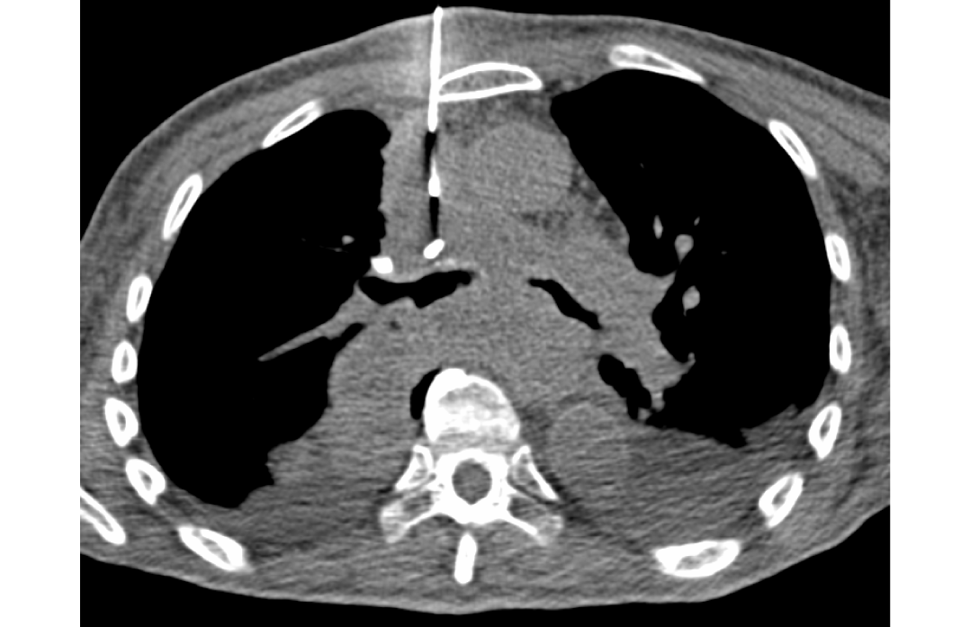
Biopsia de mediastino anterior
Ver más
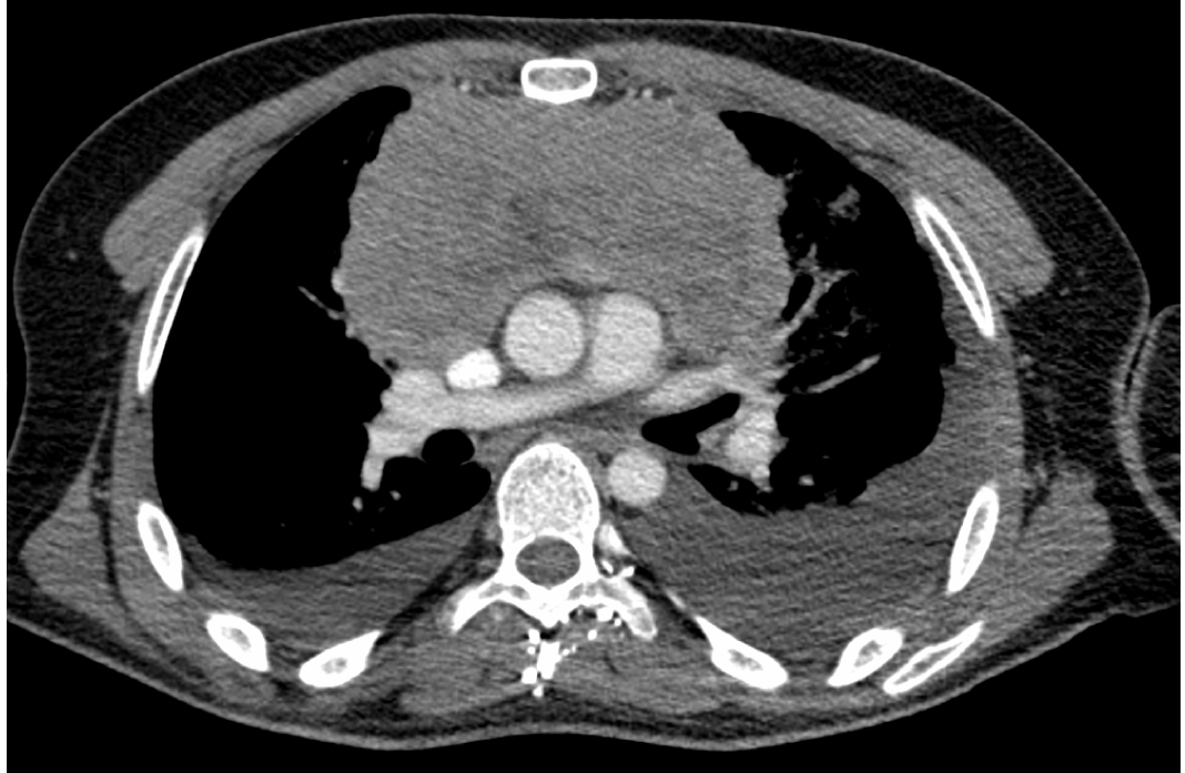
Biopsia de mediastino anterior 2
Ver más
Biopsia de tumoración retroperitoneal
Ver más
Biopsia guiada por pet-ct
Ver más
Colección en espacio presacro
Ver más
Embolización portal
Ver más
Estenosis vena cava inferior
Ver más
Quimioembolizacion arterial hepática con microondas de lesión hepática
Ver más
Síndrome de vena cava superior
Ver más
Linfangiografía con embolización del conducto torácico
Ver más
Crioablacion de tumor en mama derecha
Ver más
Copyright ©2020 RADIN Centro Integral de Radiología Intervencionista