Quiénes Somos
Casos clínicos
Patologías que atendemos
Gastroenterología
Nefrología / Urología
Ginecología
Vascular
Neurointervencionismo
Oncología
Dónde nos encontramos
Blog
Contacto
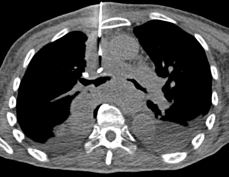
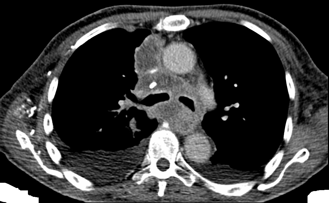
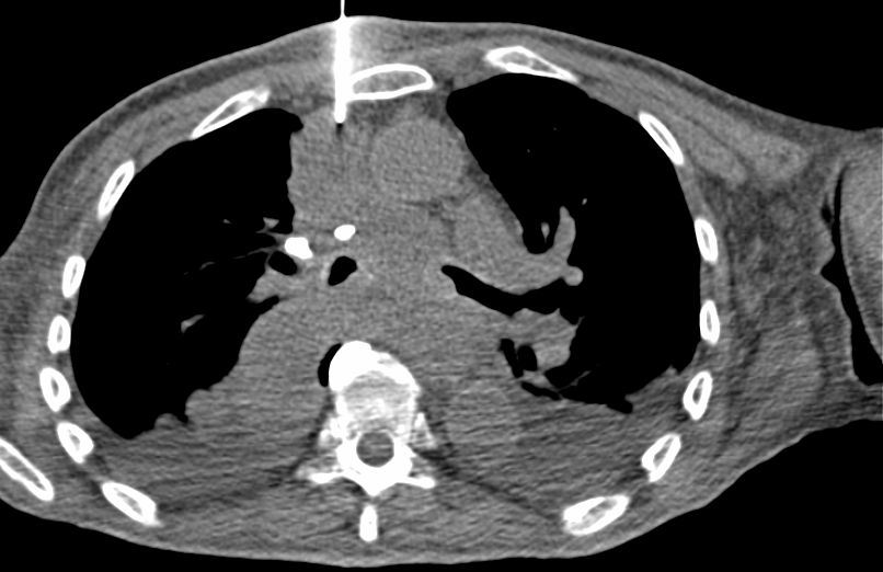
Biopsia de mediastino anterior
Copyright ©2020 RADIN Centro Integral de Radiología Intervencionista